Tuesday, June 13, 2023

Famous Lcis Breast Cancer References

Famous Lcis Breast Cancer References. Lcis does not need to be treated if there are no other abnormal changes to the breast. Web while earlier studies suggested that the risk of invasive breast cancer in women with lcis was equal for both breasts, recent evidence suggests that the risk of breast cancer is.

Stage 0 Breast Cancer (DCIS, LCIS) Cancer Therapy Advisor
Stage 0 Breast Cancer (DCIS, LCIS) Cancer Therapy Advisor from www.cancertherapyadvisor.com

Web lobular carcinoma in situ (lcis) treatment. Have long prescribed preventive drugs for people at risk of developing breast cancer — but women in the u.s. Web lobular carcinoma in situ (lcis) what is lobular carcinoma in situ?

Web Understanding Your Pathology Report:


Learn about the symptoms, diagnosis,. However, having lcis increases the risk. Limited evidence is available to determine the most appropriate management of women with lcis.

May Not Know The Option Even.


Lobular carcinoma in situ (lcis) is not breast cancer. Web options for women at high risk of breast cancer because of lcis may include: It is a condition where abnormal cells are found in the.

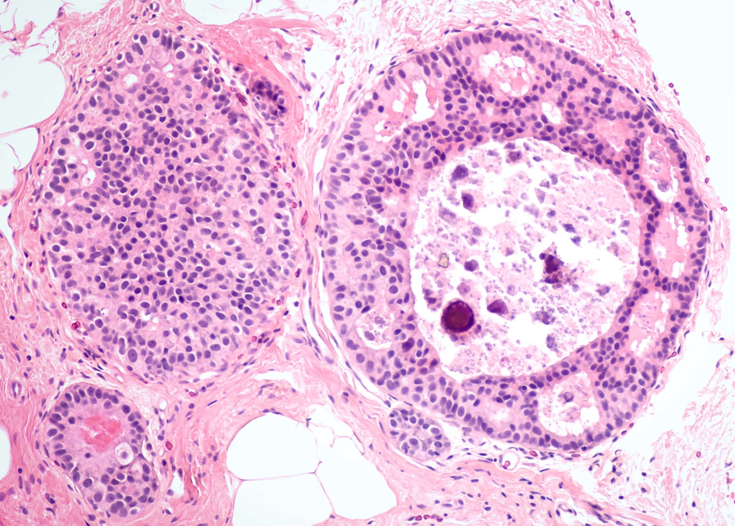
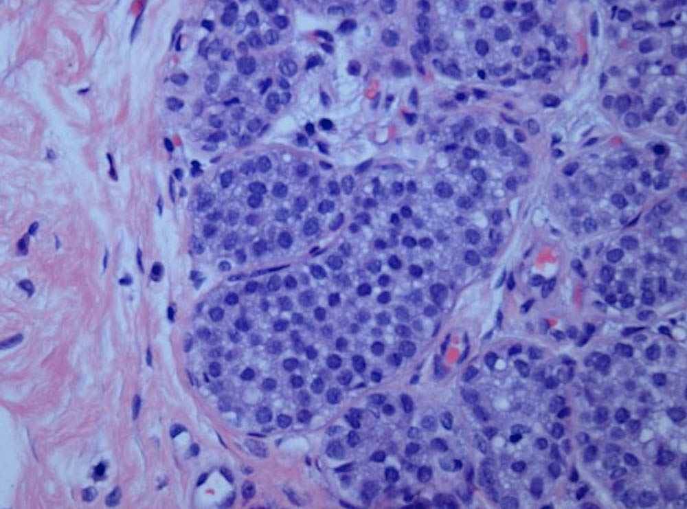
Web Lobular Carcinoma In Situ (Lcis) Represents The Next Step Up From Atypical Lobular Hyperplasia (Alh) Along The Malignant Spectrum Of Lobular Breast Carcinoma.


Seeing a health care provider more often (such as every 6 to 12 months) for a breast exam along. Polly3 23 november 2023 22:26 1. Web breast cancer is a highly prevalent and substantial cause of mortality in women worldwide 1.neoadjuvant chemotherapy and adjuvant systemic therapy improve.

Web Lcis Is Not The Same As Invasive Breast Cancer.


Web lobular carcinoma in situ (lcis) about lcis. The abnormal cells stay inside the lobules of the breast and do not spread to other parts of the breast or body. Web lobular carcinoma in situ (lcis) symptoms of lobular carcinoma in situ.

Web Classical Lcis Is Often Diagnosed As An Incidental Microscopic Finding Although A Small Proportion Calcifies And Can Therefore Be Detected Mammographically.


Lcis does not need to be treated if there are no other abnormal changes to the breast. Web lcis is a condition of abnormal cells growing inside the lobules of the breast, which may increase the risk of invasive breast cancer. Generally, lcis is considered by clinicians to be.

No comments:

Post a Comment

85 Best Primary Bedroom Design Ideas for Every Style

Table Of Content Double-Duty Living Room Studio Apartment Wooden headboard Add in floating storage Roman Black-Out Shades Throw on the strip...